Sự thật về vi khuẩn "ăn" sắt (Pyrobaculum aerophilum): Chúng là thợ mỏ hay là pin sinh học tương lai?
- 1. Bối cảnh Chiến lược và Tầm quan trọng của Nghiên cứu
- 2. Phân tích Cơ chế Vận chuyển Điện tử: Vai trò của Electron Shuttle
- 3. Đặc điểm Sinh lý học và Hiệu suất Bảo tồn Năng lượng
- 4. Sự Điều hòa Enzyme: Chiến lược Quản lý Nguồn lực Tinh vi
- 5. Kiến trúc Cytochrome: Mô hình không Polyheme
- 6. Tổng hợp Đối sánh: Vị trí của P. aerophilum trong Cây Phả hệ Chuyển hóa
- 7. Kết luận và Ý nghĩa Tiến hóa
- 8. Tài liệu tham khảo
Cơ chế Chuyển hóa và Vị trí Tiến hóa Độc đáo của Pyrobaculum aerophilum trong Khử Sắt Dị hóa. Đặc điểm của quá trình khử Fe(III) dị hóa so với khử NO3− ở Cổ khuẩn chịu nhiệt cao Pyrobaculum aerophilum.
1. Bối cảnh Chiến lược và Tầm quan trọng của Nghiên cứu
Khử sắt dị hóa (dissimilatory iron reduction) được giới khoa học công nhận là một trong những con đường chuyển hóa năng lượng cổ xưa nhất, đóng vai trò nền tảng trong các chu trình địa hóa học trên Trái đất sơ khai. Việc nghiên cứu các sinh vật ưa nhiệt cực hạn (hyperthermophiles) như Pyrobaculum aerophilum—một Cổ khuẩn (Archaea) thuộc bộ Thermoproteales có khả năng sinh trưởng tối ưu tại 95°C—cung cấp dữ liệu thiết yếu để tái dựng lại lịch sử tiến hóa của các hệ thống bảo tồn năng lượng (energy conservation systems).
Trong khi các mô hình vi khuẩn (Bacteria) trung nhiệt như Geobacter và Shewanella đã được làm sáng tỏ về mặt cơ chế vận chuyển điện tử ngoại bào, việc nghiên cứu trên các đại diện Cổ khuẩn vẫn còn nhiều khoảng trống. P. aerophilum không chỉ đại diện cho một nhánh tiến hóa khác biệt mà còn thách thức các giáo điều về kiến trúc chuỗi vận chuyển điện tử (ETC). Hiểu rõ cơ chế này giúp chúng ta xác định được liệu các chiến lược giải quyết rào cản nhiệt động lực học đối với chất nhận điện tử không tan là kết quả của sự tiến hóa hội tụ hay là các đặc điểm di truyền cổ xưa được bảo tồn qua hàng tỷ năm.
2. Phân tích Cơ chế Vận chuyển Điện tử: Vai trò của Electron Shuttle
Một trong những vấn đề cốt lõi trong năng lượng sinh học là cách thức tế bào vượt qua rào cản vật lý để chuyển điện tử đến bề mặt khoáng vật không tan. Thí nghiệm "Rào cản sắt" sử dụng màng thẩm tích (dialysis tubing) với kích thước lỗ 12.000–14.000 Da đã cung cấp bằng chứng thực nghiệm quan trọng về cơ chế gián tiếp ở P. aerophilum.
Phân tích hệ thống màng ngăn và động học điện tử
Kết quả thực nghiệm cho thấy tế bào bị ngăn cách vật lý với Fe(III) oxide vẫn duy trì khả năng sinh trưởng và khử sắt với tốc độ tương đương mẫu tiếp xúc trực tiếp (thời gian nhân đôi xấp xỉ 13,6 giờ). Phân tích sâu hơn sau quá trình nuôi cấy xác nhận không có sự hiện diện của Fe(II) hay Fe(III) bên ngoài màng thẩm tích.
Sự vắng mặt này cho phép loại trừ hoàn toàn giả thuyết về chất tạo phức (chelator), vốn có chức năng hòa tan sắt để vận chuyển ngược về tế bào. Thay vào đó, kích thước lỗ màng (12–14 kDa) đủ lớn để các phân tử hữu cơ nhỏ đi qua nhưng lại ngăn cản các protein/enzyme ngoại bào. Điều này khẳng định sự tồn tại của một chất trung gian điện tử (electron shuttle) hòa tan, có khả năng khuếch tán qua lại để thực hiện flux điện tử từ màng tế bào đến bề mặt sắt oxit.
Dữ liệu HPLC và ứng viên trung gian
Phân tích sắc ký lỏng (HPLC) đối với dịch nuôi cấy (spent media) đã xác định được các đỉnh hấp thụ đặc thù tại 2.4, 2.5, 3.5, 3.7, 25.7, và 41.3 phút (Hình 1). Đặc biệt, đỉnh tại 13,9 phút xuất hiện đồng nhất trong cả môi trường Fe(III) citrate và Fe(III) oxide nhưng hoàn toàn vắng mặt trong môi trường nitrate. Đây chính là ứng viên hàng đầu cho một chất trung gian khử sắt phổ quát. Việc bổ sung 25-50% dịch nuôi cấy cũ giúp loại bỏ hoàn toàn pha tiềm phát (lag phase), chứng minh rằng tế bào chủ động tổng hợp và tiết các hợp chất này để tối ưu hóa hiệu suất chuyển hóa năng lượng (Feinberg & Holden, 2006).
HÌNH 1. Độ hấp thụ ở bước sóng 280 nm sau khi tách bằng sắc ký lỏng các hợp chất hòa tan trong dịch nổi đã sử dụng từ các môi trường nuôi cấy ở 100 mM Fe(III) oxit (A), 20 mM Fe(III) citrat (B) hoặc 10 mM KNO3 (C) và dịch nổi từ môi trường không cấy vi sinh (D). Các mũi tên chỉ ra các đỉnh cần quan tâm.
3. Đặc điểm Sinh lý học và Hiệu suất Bảo tồn Năng lượng
P. aerophilum thể hiện tính linh hoạt cao trong việc sử dụng các chất nhận điện tử, tuy nhiên các thông số động học sinh trưởng phụ thuộc chặt chẽ vào cấu trúc vật lý của chất nhận:
• Tốc độ sinh trưởng: Đạt mức cao nhất ở Nitrate (2,8 giờ trong bình lên men 20L). Trong điều kiện nuôi cấy bằng ống Batch 25mL, tốc độ ở Fe(III) citrate tan (4,6 giờ) vượt trội so với Fe(III) oxide không tan (10,7 giờ).
• Hiệu suất sinh khối (Growth Yield): Mặc dù có sự chênh lệch về tốc độ, hiệu suất sinh khối trên cả sắt tan và không tan là tương đương, lần lượt đạt 1.47 × 107 và 1.09 × 107 tế bào/μmol Fe(II).
HÌNH 2. (A) Sự phát triển của P. aerophilum trong bình lên men 20 lít trên dung dịch 10 mM KNO3 (▵, đường liền nét) hoặc 20 mM Fe(III) citrate (○, đường liền nét) và trong ống Balch 25 ml trên dung dịch 100 mM Fe(III) oxit không tan mà không có (•, - - -) và có (×, - - - - -) chứa trong ống thẩm tách. (B) Hiệu suất tăng trưởng của các nuôi cấy được thực hiện trong bình lên men 20 lít trên dung dịch 20 mM Fe(III) citrate (○, đường liền nét) hoặc trong ống Balch 25 ml trên dung dịch 100 mM Fe(III) oxit không tan (•, - - -).
Sự tương đồng về hiệu suất sinh khối chỉ ra rằng mức năng lượng tự do Gibbs (ΔG) được thu hồi để tổng hợp ATP là như nhau trên mỗi đơn vị sắt được khử. Sự khác biệt về doubling times giữa các dạng sắt chủ yếu do tính khả dụng động học (kinetic accessibility) của khoáng vật sắt oxide không tan. Rào cản này buộc tế bào phải phụ thuộc vào quá trình khuếch tán của electron shuttle, làm chậm tốc độ flux điện tử nhưng không làm giảm hiệu suất nhiệt động lực học tổng thể của hệ thống.
4. Sự Điều hòa Enzyme: Chiến lược Quản lý Nguồn lực Tinh vi
Khác với P. islandicum vốn có cơ chế khử sắt không điều hòa (constitutive), P. aerophilum sở hữu một hệ thống kiểm soát trao đổi chất tinh vi, tương đương với các vi khuẩn mesophilic hiện đại.
Bảng 1: So sánh Hoạt tính Enzyme đặc hiệu (U/mg) tại 80°C
|
Loại Enzyme |
Nuôi trên Sắt (Fe Citrate) |
Nuôi trên Nitrate (KNO3) |
Biến động |
|---|---|---|---|
|
NADH-dependent ferric reductase |
1,09±0,41 |
0,01±0,00 |
Tăng ~100 lần |
|
AHDS oxidase (Membrane-associated) |
33,0±0,51 |
0,14±0,01 |
Tăng ~236 lần |
|
Nitrate reductase (WCE) |
1,07±0,45 |
10,9±2,0 |
Giảm ~10 lần |
Phân tích điện di và khối phổ (MALDI-TOF) đã xác định một dải protein 120 kDa (tương ứng với các tiểu đơn vị NarG/NarH của nitrate reductase) hiện diện dày đặc ở tế bào nuôi trên nitrate nhưng gần như biến mất hoàn toàn ở tế bào nuôi trên sắt. Ngược lại, hoạt tính AHDS oxidase—một enzyme đặc thù liên quan đến việc oxy hóa các chất trung gian khử—cho thấy mức độ liên kết màng >95%. Sự điều hòa ở cấp độ protein này chứng minh P. aerophilum có khả năng tối ưu hóa bộ máy enzyme dựa trên tiềm năng oxy hóa-khử (redox potential) của môi trường, một đặc điểm tiến hóa tiên tiến giúp tránh lãng phí năng lượng trong điều kiện cực hạn.
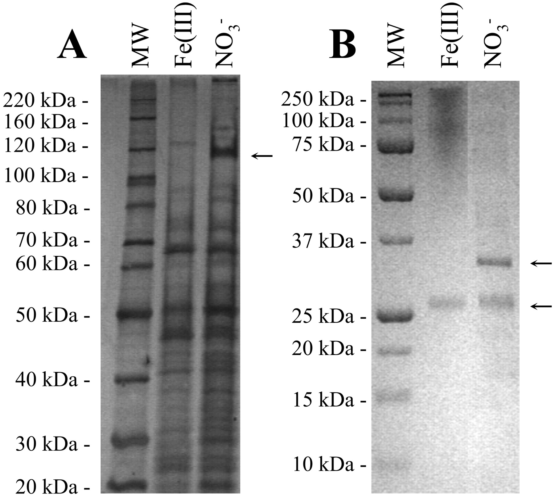
5. Kiến trúc Cytochrome: Mô hình không Polyheme
Trong sinh học năng lượng truyền thống của vi khuẩn khử kim loại, các cytochrome c-type đa nhân (polyheme) đóng vai trò là các "dây dẫn" xuyên màng. Tuy nhiên, P. aerophilum đại diện cho một mô hình kiến trúc hoàn toàn khác.
• Sự vắng mặt của Motif CXXCH đa nhân: Phân tích bộ gen cho thấy sự thiếu hụt hoàn toàn các motif polyheme thường thấy ở Geobacter hay Shewanella.
• Kết quả nhuộm Heme (Hình 3): Chỉ phát hiện duy nhất 1 cytochrome monoheme (27 kDa) trong điều kiện nuôi trên sắt. Một cytochrome khác (34 kDa) hiện diện trong điều kiện nuôi nitrate (được dự đoán thuộc phức hệ nitrite reductase) đã biến mất khi chuyển sang nuôi trên sắt.
Việc thiếu hụt polyheme cytochrome khẳng định rằng con đường khử sắt ở P. aerophilum không dựa trên các "nanowires" protein. Thay vào đó, hệ thống vận chuyển điện tử có thể dựa vào các protein monoheme đơn giản phối hợp với các electron shuttle hòa tan. Đây là minh chứng cho một chiến lược bioenergetics tối giản nhưng hiệu quả, phù hợp với môi trường nhiệt thủy nhiệt nơi các cấu trúc protein phức tạp có thể kém bền vững.
HÌNH 3. Điện di gel và nhuộm bạc (A) hoặc nhuộm heme (B) của các phân đoạn màng được chuẩn bị từ các nuôi cấy được nuôi cấy trong môi trường sắt và nitrat. (A) Vạch protein được sử dụng để xác định khối lượng peptide được chỉ ra bằng mũi tên, và khối lượng phân tử của các protein chuẩn theo kích thước phân tử (làn MW) được hiển thị ở bên trái. Gel chứa 8% polyacrylamide. (B) Hai vạch protein được nhuộm heme được xác định bằng mũi tên, và khối lượng phân tử của các protein chuẩn được nhuộm trước (làn MW) được hiển thị ở bên trái.
6. Tổng hợp Đối sánh: Vị trí của P. aerophilum trong Cây Phả hệ Chuyển hóa
P. aerophilum chiếm giữ một vị trí độc nhất vô nhị, được coi là mô hình khử sắt thứ ba, lai trộn giữa các đặc điểm của Cổ khuẩn và Vi khuẩn:
|
Tiêu chí |
P. aerophilum |
Geobacter spp. |
Shewanella spp. |
|---|---|---|---|
|
Cơ chế tiếp xúc |
Gián tiếp (Shuttle) |
Trực tiếp (Pili/Contact) |
Cả hai |
|
Mediator ngoại bào |
Electron Shuttle |
Không |
Electron Shuttle |
|
Loại Cytochrome |
Monoheme |
Polyheme |
Polyheme |
|
Sự điều hòa enzyme |
Có (Rất mạnh) |
Có |
Có |
|
Môi trường |
Ưa nhiệt cực hạn |
Trung nhiệt |
Trung nhiệt |
Nhận định: P. aerophilum kết hợp khả năng điều hòa enzyme tinh vi (kiểu Vi khuẩn) với kiến trúc protein tối giản không polyheme (kiểu Cổ khuẩn). Đây là một mô hình tiến hóa trung gian, cho thấy sự đa dạng trong cách thức sinh giới xử lý chất nhận điện tử rắn.
7. Kết luận và Ý nghĩa Tiến hóa
Nghiên cứu về Pyrobaculum aerophilum đã phá vỡ giả định rằng quá trình khử sắt dị hóa bắt buộc phải đi kèm với hệ thống polyheme cytochrome phức tạp. Sự tồn tại của một cơ chế dựa trên electron shuttle được điều hòa chặt chẽ ở một sinh vật ưa nhiệt cực hạn gợi mở rằng đây có thể là một trong những phương thức vận chuyển điện tử ngoại bào đầu tiên xuất hiện trên Trái đất, trước khi các cấu trúc protein dẫn điện phức tạp hơn được phát triển ở các nhóm vi khuẩn hiện đại.
Bài học cốt lõi (Key Takeaways):
• Cơ chế Shuttle-mediated: Khẳng định việc sử dụng electron shuttle hòa tan (đặc trưng bởi đỉnh HPLC 13.9 phút) thay vì chất tạo phức hoặc tiếp xúc trực tiếp để khử sắt oxide không tan.
• Hệ thống điều hòa linh hoạt: Khác biệt hoàn toàn với P. islandicum, sinh vật này thể hiện sự điều hòa enzyme mạnh mẽ (tăng 100-580 lần) đối với các protein liên kết màng khi chuyển đổi giữa các chất nhận điện tử.
• Sự tối giản kiến trúc ETC: Chứng minh khả năng khử kim loại dị hóa hiệu quả mà không cần cytochrome đa nhân (polyheme), thách thức các mô hình bioenergetics truyền thống và mở rộng hiểu biết về sự thích nghi của sự sống trong môi trường nhiệt thủy nhiệt.
8. Tài liệu tham khảo
Feinberg LF, Holden JF2006. Characterization of Dissimilatory Fe(III) versus NO3− Reduction in the Hyperthermophilic Archaeon Pyrobaculum aerophilum. J Bacteriol188:. https://doi.org/10.1128/jb.188.2.525-531.2006

CÔNG TY TNHH KHOA HỌC KỸ THUẬT TOÀN CẦU
Trụ sở: Lầu 19, khu A, số 4 Nguyễn Đình Chiểu, Phường Đa Kao, Quận 1, TP. Hồ Chí Minh, Việt Nam
VP HCM: 48 Châu Thị Hóa, Phường 4, Quận 8, TP. Hồ Chí Minh
VP HN: Số nhà 59B ngõ 148 Trần Duy Hưng, phường Trung Hòa, Quận Cầu Giấy, Hà Nội
Hotline: 0908.090.555
Email: dinh@global.net.vn
Website: https://globallab.com.vn/



Xem thêm